歯を守る歯科 西新宿五丁目
ホーム
医院案内
医院の特徴
アクセス
ご予約について
院長あいさつ
よくある質問
診療メニュー
歯周病治療
虫歯治療
根管治療
親知らず治療
入れ歯治療
ホワイトニング
歯茎の再生治療
成人矯正
小児歯科・小児矯正
審美治療
予防歯科
咬み合わせ治療
顎関節症治療
インプラント治療
口臭治療
訪問歯科診療
セレック治療
求人案内
お知らせ
歯のコラム
症例集
歯を守る歯科西新宿五丁目
トップ
診療科目
歯周病治療
虫歯治療
根管治療
親知らず治療
入れ歯治療
ホワイトニング
歯茎の再生治療
成人矯正
小児歯科・小児矯正
審美治療
予防歯科
咬み合わせ治療
顎関節症治療
インプラント治療
口臭治療
訪問歯科診療
セレック治療
医院案内
医院の特徴
アクセス
ご予約について
院長あいさつ
よくある質問
求人案内
症例集
症例集
トップ
>
症例集
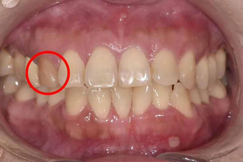
ホワイトニング
24歳・女性
ホワイトニングをしたい。
歯の黄ばみが気になる。
36歳・男性
前歯の色が気になる。
41歳・女性
右上の犬歯の根っこの治療をしてから、色が気になる。