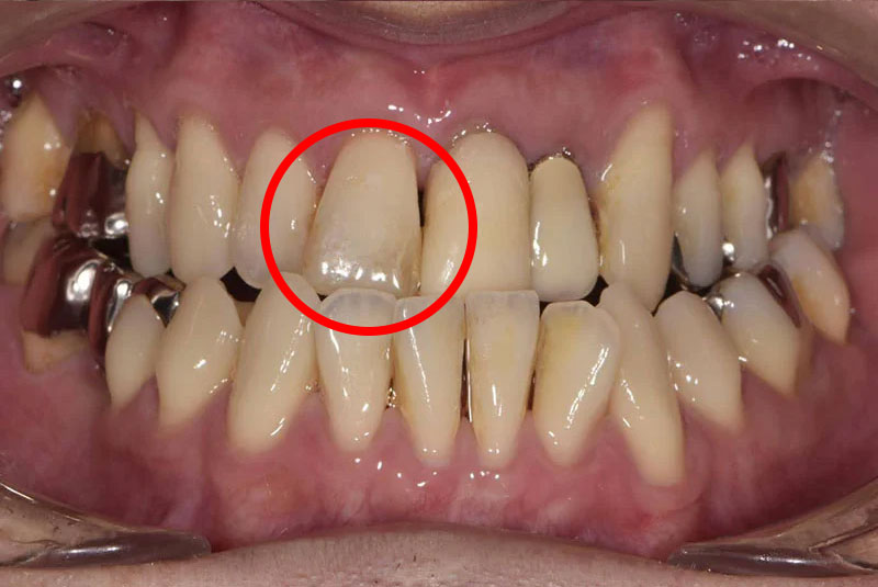
ウォーキングブリーチ
36歳・男性
-
通院時年齢
36歳
-
性別
男性
-
通院目的
ホワイトニング・メインテナンス
-
処置内容(または主訴)
前歯の色が気になる。
-
通院期間
3回通院(30分×3回)
Total 1ヶ月 -
費用
ウォーキングブリーチ(3回)
初回:16,500円(税込)
2・3回目(薬剤交換):3,300円(税込)
3回ご利用総額:28,600円(税込) -
リスク・副作用
- 時間経過とともに色の後戻りが起こる可能性はあります。
- 漂白後に全体で均一に白くならず、斑に見えることがあります。
- 漂白歯だけが白くなりすぎて、逆に不自然に見えることがあります
- 根管充填材の上に隔壁を十分に置かないと、薬剤が歯根や歯周組織に漏出し、炎症の原因になります
- 侵襲性歯頸部外部吸収のリスクが指摘されています

ホワイトニング前・初診時口腔内写真

ウォーキングブリーチ後(1回目の薬剤交換時)
Shade guideとの比較写真

ウォーキングブリーチ後(2回目の薬剤交換後)

ウォーキングブリーチ後
Shade guideとの比較写真